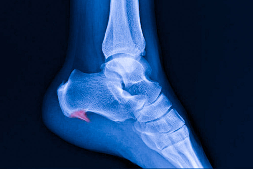
L'épine sous le pied, également connue sous le nom d'épine calcanéenne, est une affection douloureuse qui peut toucher tout le monde. Il s'agit d'une inflammation autour du talon ou de l'aponévrose plantaire qui provoque un sentiment dérangeant et parfois insupportable. Dans cet article, nous vous présentons différentes façons de soulager ce problème sans avoir à passer par une intervention invasive.

Identifier l'épine sous le pied
Pour apporter les solutions les plus adaptées, la première étape consiste à identifier l'épine sous le pied et ses causes possibles. Plusieurs facteurs peuvent entraîner cette douleur, tels que :
- Le port de chaussures inappropriées
- La marche prolongée sur des surfaces dures
- Les troubles de posture comme la pronation excessive
- Des blessures aux pieds, notamment au talon et à la zone de l'aponévrose
- Facteurs génétiques ou liés à l’âge.
Nous vous recommandons de consulter un médecin ou un spécialiste tel qu'un podologue pour diagnostiquer avec précision l'épine calcanéenne et déterminer sa cause exacte.
Traitements possibles
Il existe différents traitements susceptibles de soulager l'épine calcaneusse selon la gravité ou la persistance de la douleur :
- Application de glace pour réduire l'inflammation
- Médicaments anti-inflammatoires non stéroïdiens (AINS)
- Orthèses plantaires personnalisées pour corriger les troubles posturaux et répartir le poids du pied plus uniformément
- Injections de corticostéroïdes pour soulager la douleur en cas d'échec des autres traitements.
Exercices et étirements pour soulager l'épine sous le pied
Faire des exercices réguliers et des étirements adaptés peut grandement aider à prévenir et soulager l'épine sous le pied. Voici quelques exemples :
- Étirement des mollets : Pour améliorer la souplesse et diminuer la tension dans la zone du talon, positionnez-vous face à un mur, les bras tendus vers celui-ci, un pied en avant, l'autre en arrière. Poussez vos hanches vers le mur tout en gardant le dos droit et le talon arrière au sol. Vous devriez sentir un étirement le long du mollet arrière. Maintenez cette position pendant 20 à 30 secondes, puis changez de jambe et répétez l'exercice.
- Étirement de la voûte plantaire : Asseyez-vous avec une jambe croisée sur l'autre, saisissez votre gros orteil et tirez-le doucement vers vous. Cela va étirer les muscles s'étendant de l'arrière du talon jusqu'à la zone située sous les orteils. Répétez l'exercice pendant 20 à 30 secondes sur chaque pied.
- Massage de l'aponévrose plantaire : Placez une balle de tennis ou une autre surface similaire légèrement dure au sol et faites-la rouler doucement sous vos pieds en appliquant une pression modérée. Cela permet de détendre les muscles et les tissus de cette zone spéciale.
Adapter son mode de vie pour prévenir et soulager l'épine calcaneusse
Apporter quelques modifications à votre quotidien peut aider à prévenir l'épine calcanéenne ou à reculer les dégâts déjà causés :
Perdre du poids si nécessaire
Une surcharge pondérale exerce davantage de pression sur vos pieds, notamment dans la zone du talon. Perdre un peu de poids vous aidera donc à répartir le poids de manière plus uniforme et atténuer la douleur ainsi que l'inflammation causées par l'épine sous le pied.
Porter des chaussures adaptées
Favorisez le port de chaussures qui offrent un soutien approprié pour votre voûte plantaire et un bon amorti pour votre talon. Il est également important de bien choisir la taille de vos chaussures et de veiller à ce qu'elles soient confortables.
Éviter de marcher pieds nus ou sur des surfaces très dures
Marcher pieds nus sans support ni amorti peut aggraver l'épine sous le pied. Évitez autant que possible les sols en béton et essayez de marcher sur des surfaces plus douces, telles que l'herbe ou la moquette.
Considérer un traitement additionnel si nécessaire
Si malgré tous vos efforts, la douleur persiste et devient insupportable, il est temps d'envisager d'autres options pour soulager l'épine sous le pied. Les traitements physiques professionnels tels que la thérapie par ultrasons ou par ondes de choc extracorporelles peuvent aider à briser les dépôts de calcium qui se sont formés autour du talon et améliorer la circulation dans cette zone.
En cas de nécessité, une intervention chirurgicale visant à retirer l'épine calcanéenne ou à détacher partiellement l'aponévrose plantaire peut également être envisagée. Toutefois, il est primordial de discuter avec un spécialiste les avantages et éventuels risques associés à ces méthodes invasives avant de prendre votre décision finale.

